Film de Radiographie FUJIFILM.
Descriptions:
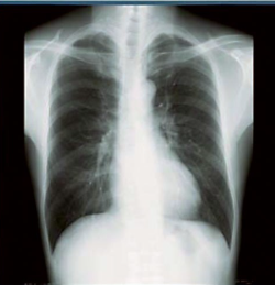
Film radiographique laser sec Fuji .
Les films radiographique laser sec Fuji ont pour rôle principal d’ uniformiser les images de très basse densité.
Leur teinte neutre produisant des images comparables à celles obtenues à partir du traitement humide conventionnel.
Les films Fuji sont utilisés avec les reprographes.
Le système ECO-DRY est respectueux de l’environnement, à la fois dans son traitement des films et dans sa technologie de production. Son secret repose dans le film DRYPIX, qui utilise des solvants aqueux ne laissant pas d’odeur désagréable. Résultat: des images à la tonalité neutre d’une impeccable netteté, comparable à celle obtenue avec un film humide.
ECO-DRY intégre la nouvelle technologie de revêtement liquide qui évite l’utilisation de solvants organiques, nocifs pour l’environnement, lors du développement thermique des matériaux sensibles à la lumière.
Découvrez le film radiographique laser sec, spécialement conçu pour offrir des images d’une clarté inégalée tout en respectant l’environnement.
Grâce à sa technologie avancée, les films FUJIFILM assurent une uniformité remarquable des images à très basse densité, avec une teinte neutre qui rivalise avec celle des films traités de manière conventionnelle. Ce film est idéal pour les professionnels de Santé utilisant les reprographes.
Le système ECO-DRY, intégré au Fuji DIHL, utilise des solvants aqueux respectueux de l’environnement, éliminant ainsi les odeurs désagréables et évitant les solvants organiques nocifs. Cette innovation garantit des images d’une netteté exceptionnelle et contribue à un environnement de travail plus sain et plus propre.
Choisissez parmi les différents formats disponibles pour répondre à vos besoins spécifiques :
– 14803MAX : 20 x 25 cm (boîte de 100) 115000FCFA
– 14804MAX : 25 x 30 cm (boîte de 100) 145000FCFA
– 14805MAX : 26 x 36 cm (boîte de 100) 175000FCFA
– 14806MAX : 35 x 43 cm (boîte de 100) 190000FCFA
En optant pour ce film radiographique laser sec Fuji DI-HL, vous bénéficiez d’un film radiographique de haute qualité avec une date de péremption garantie supérieure à 12 mois.









Avis
Il n’y a pas encore d’avis.